Tissues & Organs
Tissues & Organs
Acute Inflammation
Example
Lobar pneumonia, acute appendicitis
Timing
Changes occurring immediately after injury and lasting several hours or days
Sequence of Events
1. Vasodilation
Increase in blood volume resulting in heat and redness
Mediated by mast cells releasing histamine and heparin
2. Stasis
Slowing of blood flow to allow inflammatory cells to respond to injury
↑ RBCs ↑ Viscosity ↓ Velocity
3. Fluid Exudation
Release of plasma and proteins to site of injury
4. Cellular Exudation
Peripheral orientation of PMNs along endothelium (adhesion to selectins and integrins) migrating to site of injury via chemokine gradients (diapedesis)
PMNs are short-lived and get replaced by monocytes
Phagocytosis and release of leukocyte products such as degranulation of PMNs contributing to tissue injury (liquefaction necrosis)
5. Lymphatic System
Draining of excess fluid
Healing and Repair
Reversible Destruction
If mild, can go back to normal state, if extensive, fibrous repair occurs
Chronic Inflammation
Example
Tuberculosis, leprosy, rheumatoid arthritis, liver cirrhosis
Timing
Tissue reactions over a long period of time due to persistence of injury/pathogen eliciting repetitive immune responses
Sequence of Events
1. Fluid & Cellular Exudation
Infiltration by mononuclear cells (macrophages, lymphocytes, and plasma cells)
2. Proliferative Response
Proliferation of fibroblasts and vascular elements
Increased connective tissue (fibrosis)
3. Recruitment and Damage
Chemical mediators produced by cells lead to further recruitment and proliferation of cells that results in extensive tissue damage with fibrosis
Healing and Repair
Irreversible Destruction
Tissue does not reverse back to normal structure and function thus leading to fibrous repair where fibrous connective tissue (scarring) forms throughout sites of injury
Frustrated Repair
Cannot repair to completion due to persistence of irritant
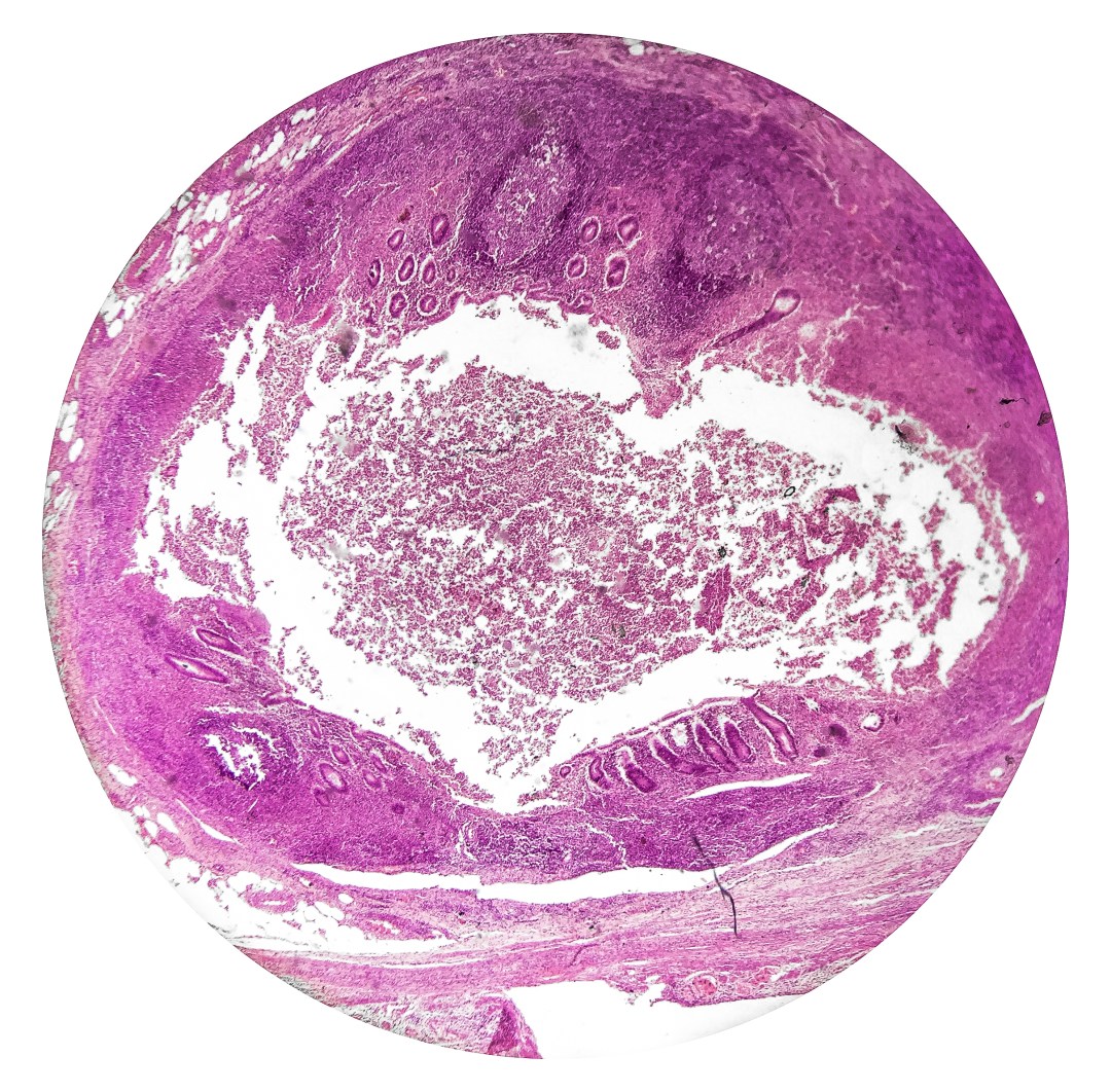
Acute Appendicitis
Suppurative Inflammation
Rich in PMNs (pus formation) found throughout mucosa, submucosa, muscularis regions, and serosa regions
Coagulated pus found in lumen
Mucosa
Epithelium | columnar epithelium destroyed and barely identifiable amongst cellular exudate
Thickening of wall leading to an almost complete obstruction of the lumen
Muscularis Mucosae | smooth muscle fibres separated by oedema (fluid accumulation) and PMNs
Pathogenesis
Viral/Bacterial | lumen is not obstructed, and more diffuse lymphatic tissue is present (large population of lymphocytes instead of PMNs and presence of more than normal lymph nodules)
Constipation | presence of fecalith-inspissated feces in lumen due to constipation
Normal State
Diseased State
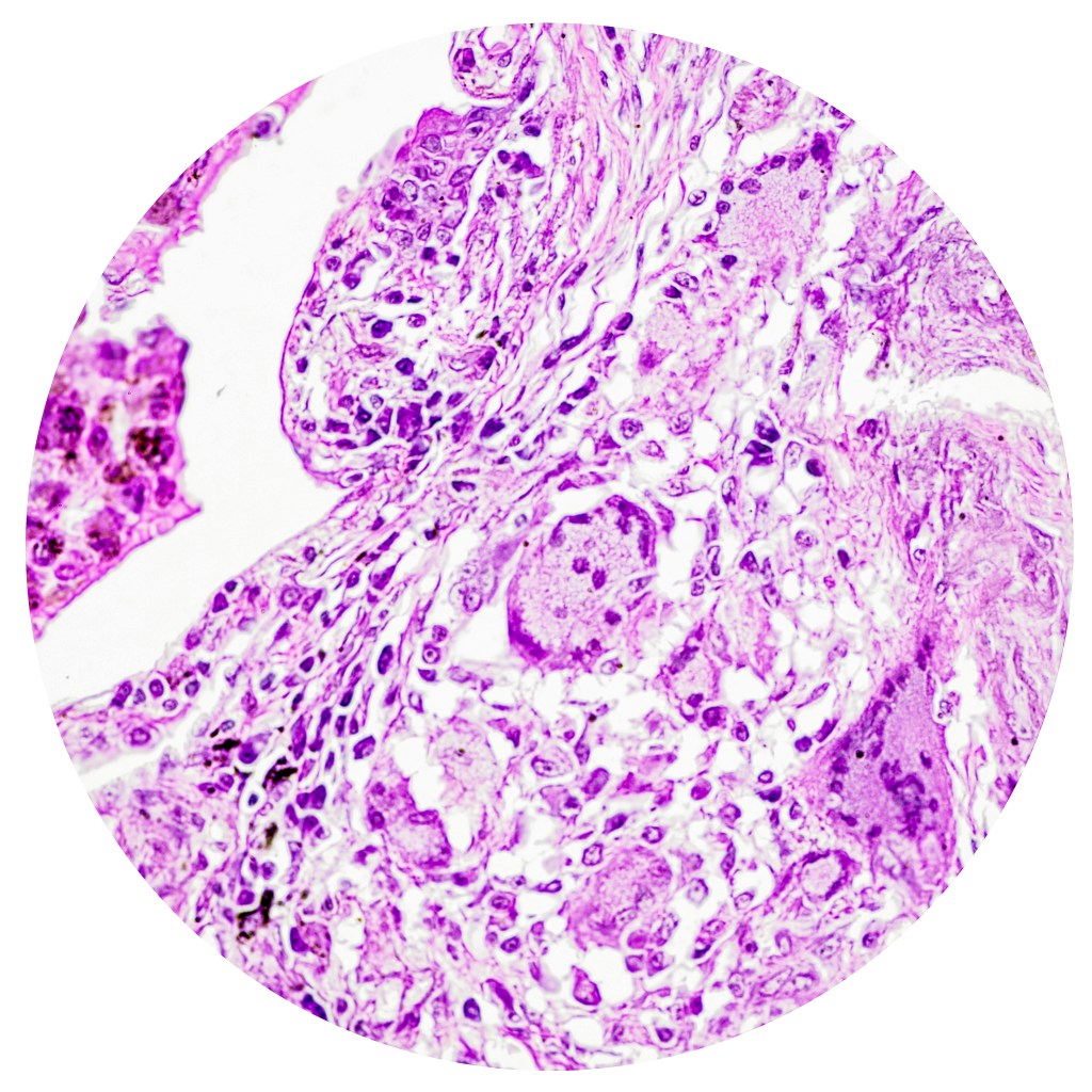
Tuberculosis
Granulomatous Inflammation
Granulomas | collections of modified macrophages surrounded by rim of lymphocytes. Other elements include vascular elements, fibroblasts, collagen, PMNs, and plasma cells
Production of type I collagen surround tubercle providing strong capsule and preventing spread of bacterium
Giant Cells
Fused macrophages, multi-nucleated
Langhans’ Giant Cells | nuclei arranged in horseshoe formation around periphery (characteristic of TB)
Foreign Body-Type Giant Cells | scattered nuclei throughout cell body
Caseous Necrosis
Cell death forming amorphous protein mass with consistency of ‘cream cheese’
Normal State
Diseased State
Emphysema
Key IDs
Destruction of alveolar walls
Increase in alveolar volume (resulting in less space for alveolar exchange)
Breakdown of elastic fibres (loss of elastic recoil leading to inefficient expiration)
Normal State
Diseased State
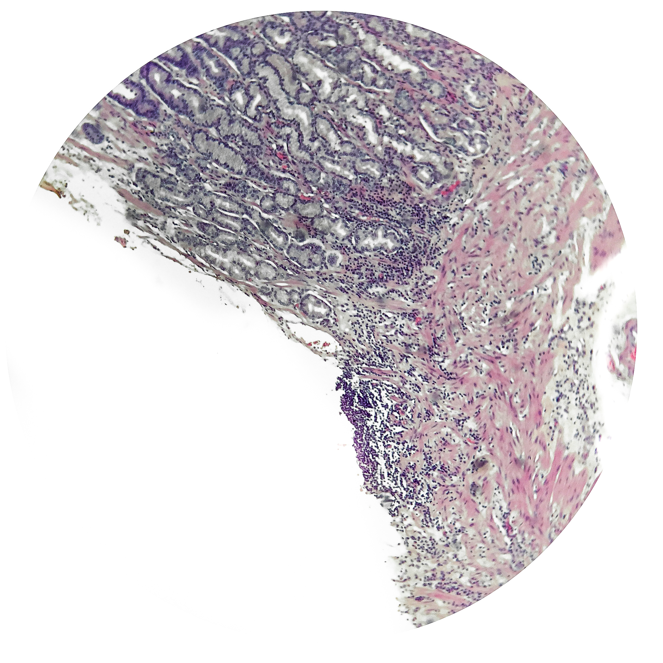
Peptic Ulcer
Mucosa
Epithelium | columnar epithelium destroyed by ulceration
Inflammatory Cells | PMNs, lymphocytes, plasma, monocytes (macrophages)
Submucosa
Densely staining amorphous necrotic tissue replacing mucosa with granulation tissue and fibrous tissue merging into submucosa
Muscularis Externa
Disrupted smooth muscle layers
Normal State
Diseased State
Liver Cirrhosis
Key IDs
Collagen and fibrous tissue
Inflammatory cells present
Fatty change is evident
Pathogenesis
Alcohol abuse
Malnutrition
Toxins
Infection















