Mock Test
Lab 1
%
of Final Grade
Test Yourself
Question 1.
A. Classify the epithelium
B. Name 2 key ID features of this epithelium
C. Where can this type of epithelium be found in the body?
Answer
Question 1.
Transitional Epithelium
A. Classify the epithelium | transitional epithelium
B. Name 2 key ID features of this epithelium | dome-shaped cells, some binucleated cells
C. Where can this type of epithelium be found in the body? urinary bladder
Test Yourself
Question 2.
A. Classify the epithelium
B. Name the structures attached to the epithelium and what purpose do they serve?
C. Where is this tissue located in the body?
Answer
Question 1.
Brush Border
A. Classify the epithelium | simple columnar epithelium
B. Name the structures attached to the epithelium and what purpose do they serve? microvilli, absorptive/secretion, increase functional surface area
C. Where is this tissue located in the body? small intestine
Test Yourself
Question 3.
A. Name the structures located throughout the dermis
B. Name the gland associated with these structures?
C. What does this gland secrete and through which secretion method?
Answer
Question 3.
Hair Follicle
A. Name the structures located throughout the dermis | hair follicles, sebaceous glands
B. Name the gland associated with these structures? sebaceous glands
C. What does this gland secrete and through which secretion method? sebum/oil, holocrine
Test Yourself
Question 4.
A. Name the cell type in the centre of the field of view
B. Name a key ID feature of this cell
C. What is the name of the largest leukocyte found in the mammalian blood?
Answer
Question 4.
Blood Smear | Leukocyte
A. Name the cell type in the centre of the field of view | lymphocyte
B. Name a key ID feature of this cell | large nucleus, small area of cytoplasm present
C. What is the name of the largest leukocyte found in the mammalian blood? Monocyte (~18 um, average RBC ~7 um)
Test Yourself
Question 5.
A. Name this structure and which part of the nervous system it is categorized under
B. Name the region which contains motor nerve cell bodies
C. Name the region which contains sensory nerve cell bodies
Answer
Question 5.
Spinal Cord
A. Name this structure and which part of the nervous system it is categorized under | spinal cord, nervous system
B. Name the region which contains motor nerve cell bodies | Ventral Horn (H-area within cord)
C. Name the region which contains sensory nerve cell bodies | Dorsal Root Ganglia (outside cord)
Test Yourself
Question 6.
A. Identify the large structures located in the tissue layer below the epithelium
B. What is the predominant cell type found in these structures
C. Germinal centres are characteristic of ______________ (be specific)
Answer
Question 6.
Lymph Nodule | within Ileum of Small Intestine
A. Identify the large structures located in the tissue layer below the epithelium | lymph nodules
B. What is the predominant cell type found in these structures | lymphocytes
C. Germinal centres are characteristic of secondary nodule (be specific)
Test Yourself
Question 7.
A. Classify the connective tissue
B. Name the two predominant fibre types found
C. the most predominant cell type present
Answer
Question 7.
Loose Connective Tissue
A. Classify the connective tissue | loose/areolar connective tissue
B. Name the two predominant fibre types found | collagen (type I) and elastic
C. the most predominant cell type present | fibroblast
Test Yourself
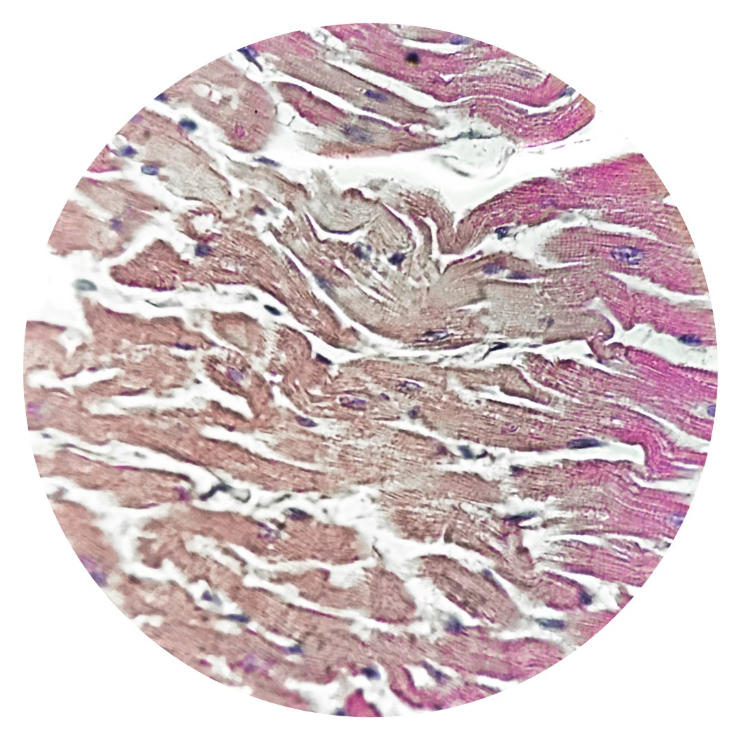
Question 8.
A. Classify the muscle tissue
B. Name 3 key ID features of this tissue
Answer
Question 8.
Cardiac Muscle
A. Classify the muscle tissue | cardiac muscle
B. Name 3 key ID features of this tissue | striated, centrally located nuclei, intercalated disks, branching
Test Yourself
Question 9.
A. Name the structure in the centre of the field of view (be specific in your classification)
B. Classify the epithelium
C. Name the 3 layers present in this structure
Answer
Question 9.
Blood Vessels | Muscular Artery of Umbilical Cord
A. Name the structure in the centre of the field of view (be specific in your classification) | muscular artery
B. Classify the epithelium | simple squamous
C. Name the 3 layers present in this structure | Tunica Intima, Tunica Media, Tunica Adventia
Test Yourself
Question 10.
A. Name the organ
B. Classify the glans of the exocrine portion
C. Exocrine glands secrete their products into ____________________
D. Endocrine glands secrete their products into __________________
Answer
Question 10.
Pancreas
A. Name the organ | pancreas
B. Classify the glans of the exocrine portion | compound acinar (Human) and compound tubuloacinar (most vertebrates)
C. Exocrine glands secrete their products into ducts (enzymes)
D. Endocrine glands secrete their products into blood vessels/capillaries (hormones)









